コンテンツに移動 ナビゲーションに移動

志木で歯医者・歯科なら『志木かくや歯科クリニック』へ

志木の歯医者『志木かくや歯科クリニック』|歯科医院公式サイト

contact_txt
  • トップページTop Page
  • スタッフ紹介Staff
  • 初めての方へInformation
  • 当院の特徴Stance
    • 志木駅すぐの通いやすい環境
    • 新しく清潔感あふれる院内
    • 滅菌衛生管理の徹底
    • インフォームドコンセント
    • 口腔外科手術に精通
    • キッズスペース完備
    • 矯正専門外来
    • 予防に注力
  • 診療内容Treatment
    • 予防・メインテナンス
    • 歯周病治療
    • 虫歯治療
    • 親知らず
    • 小児歯科治療・予防
    • セラミック・ジルコニア
    • ホワイトニング
    • ワイヤー矯正
    • マウスピース矯正
    • 義歯・入れ歯
    • インプラント
    • 口腔外科治療・手術
  • 症例集Cases
  • 料金・その他Fee
    • 自由診療料金表
    • 医療費控除について
    • 未承認医薬品等の明示
    • リスクと副作用について
    • 当院の施設基準の届け出
    • 個人情報保護について
  • 院内・設備Clinic
  • 診療・交通Access
  • 採用情報Recruit

症例集

  1. HOME
  2. 症例集
2025/9/12 / 最終更新日 : 2025/10/23 tom ウォーキングブリーチ

ウォーキングブリーチ治療例(50代 男性)_0007

ウォーキングブリーチ治療例 「歯の変色を白くして欲しい」ということでご来院いただきました。ウォーキングブリーチ治療で現状よりも白さを取り戻すことができました。 写真

2025/9/12 / 最終更新日 : 2025/10/23 tom ウォーキングブリーチ

ウォーキングブリーチ治療例(30代 女性)_0006

ウォーキングブリーチ治療例 「急に歯が変色したので白くして欲しい」ということでご来院いただきました。ウォーキングブリーチ治療で現状よりも白さを取り戻すことができました。 写真

2025/9/12 / 最終更新日 : 2025/10/23 tom インプラント

インプラント治療例(80代 女性)_0005

インプラント治療例 「噛み合わせられない/入れ歯が合わない」ということでご来院いただきました。インプラント治療で快適に噛めるようになりました。下顎はロケーターアタッチメント使用しています。 レントゲン画像 実際の見た目の […]

2025/9/12 / 最終更新日 : 2025/10/23 tom インプラント

インプラント治療例(70代 女性)_0004

インプラント治療例 「下の入れ歯が合わない」ということでご来院いただきました。インプラント治療で快適に噛めるようになりました。 レントゲン画像 実際の見た目の写真

2024/5/7 / 最終更新日 : 2025/10/22 tom 親知らず

親知らずの治療例(20代 女性)_0001

レントゲンで見る親知らず

2024/5/7 / 最終更新日 : 2025/10/22 tom ホワイトニング

ホワイトニング治療例(30代 女性)_0002

ホワイトニング前後の比較

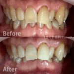
2024/5/7 / 最終更新日 : 2025/10/22 tom ホワイトニング

ホワイトニング治療例(60代 男性)_0003

ホワイトニング前後の比較

24時間 Web診療予約 こちらのフォームよりご予約下さい

カテゴリー

  • インプラント
  • ウォーキングブリーチ
  • ホワイトニング
  • 口腔外科全般
  • 親知らず

アーカイブ

  • 2025年
  • 2024年
  • 外観
  • 集合
  • 受付
  • 受付人物
  • 待合
  • キッズ
  • 診療スペース
  • 個室
  • 外観
  • 集合
  • 受付
  • 受付人物
  • 待合
  • キッズ
  • 診療スペース
  • 個室

志木の歯医者『志木かくや歯科クリニック』

ロゴマーク

〒352-0001 埼玉県新座市東北2-34-12 1階
「志木駅」徒歩2分・「北朝霞駅」徒歩14分・「朝霞台駅」徒歩15分
ご予約・お問い合わせ:048-474-5086

診療時間
月
火
水
木
金
土
日
祝
9:30-13:00
◎
◎
◎
休
◎
◎
休
休
14:30-19:00
◎
◎
◎
休
◎
-
休
休
14:30-17:00
-
-
-
休
-
◎
休
休

※木曜日・日曜日・祝日は「休診」です。

クリニック外観写真

志木の歯医者『志木かくや歯科クリニック』は、埼玉県新座市東北2-34-12にある歯科医院です。 「志木駅」徒歩2分・「北朝霞駅」徒歩14分・「朝霞台駅」徒歩15分というとても通いやすいロケーションです。

志木かくや歯科クリニック様_マーク_送付用 - 2_allwh

志木かくや歯科クリニック
〒352-0001 埼玉県新座市東北2-34-12 1階
・「志木駅」徒歩2分
・「北朝霞駅」徒歩14分
・「朝霞台駅」徒歩15分
ご予約・お問い合わせ:048-474-5086

  • トップページ
  • スタッフ紹介
  • 初めての方へ
  • 当院の特徴
  • 診療内容
  • 症例集
  • 料金・その他
  • 院内・設備
  • 診療・交通
  • 採用情報
  • 志木駅すぐの通いやすい環境
  • 新しく清潔感あふれる院内
  • 滅菌衛生管理の徹底
  • インフォームドコンセント
  • 口腔外科手術に精通
  • キッズスペース完備
  • 矯正専門外来
  • 予防に注力
  • 予防・メインテナンス
  • 歯周病治療
  • 虫歯治療
  • 親知らず
  • 小児歯科治療・予防
  • セラミック・ジルコニア
  • ホワイトニング
  • ワイヤー矯正
  • マウスピース矯正
  • 義歯・入れ歯
  • インプラント
  • 口腔外科治療・手術

Copyright © SHIKI KAKUYA DENTAL CLINIC All Rights Reserved.

MENU

基本情報

  • トップページ
  • スタッフ紹介
  • 初めての方へ
  • 当院の特徴
  • 診療内容
  • 症例集
  • 料金・その他
  • 院内・設備
  • 診療・交通
  • 採用情報
  • トップページTop Page
  • スタッフ紹介Staff
  • 初めての方へInformation
  • 当院の特徴Stance
    • 志木駅すぐの通いやすい環境
    • 新しく清潔感あふれる院内
    • 滅菌衛生管理の徹底
    • インフォームドコンセント
    • 口腔外科手術に精通
    • キッズスペース完備
    • 矯正専門外来
    • 予防に注力
  • 診療内容Treatment
    • 予防・メインテナンス
    • 歯周病治療
    • 虫歯治療
    • 親知らず
    • 小児歯科治療・予防
    • セラミック・ジルコニア
    • ホワイトニング
    • ワイヤー矯正
    • マウスピース矯正
    • 義歯・入れ歯
    • インプラント
    • 口腔外科治療・手術
  • 症例集Cases
  • 料金・その他Fee
    • 自由診療料金表
    • 医療費控除について
    • 未承認医薬品等の明示
    • リスクと副作用について
    • 当院の施設基準の届け出
    • 個人情報保護について
  • 院内・設備Clinic
  • 診療・交通Access
  • 採用情報Recruit

当院の特徴

  • 志木駅すぐの通いやすい環境
  • 新しく清潔感あふれる院内
  • 滅菌衛生管理の徹底
  • インフォームドコンセント
  • 口腔外科手術に精通
  • キッズスペース完備
  • 矯正専門外来
  • 予防に注力

治療メニュー

  • 予防・メインテナンス
  • 歯周病治療
  • 虫歯治療
  • 親知らず
  • 小児歯科治療・予防
  • セラミック・ジルコニア
  • ホワイトニング
  • ワイヤー矯正
  • マウスピース矯正
  • 義歯・入れ歯
  • インプラント
  • 口腔外科治療・手術

料金・その他

  • 自由診療料金表
  • 医療費控除について
  • 未承認医薬品等の明示
  • リスクと副作用について
  • 当院の施設基準の届け出
  • 個人情報保護について
平日9:30-19:00 / 土17:00迄 / 休診:木日祝
PAGE TOP