インプラント治療例(80代 女性)_0005
インプラント治療例
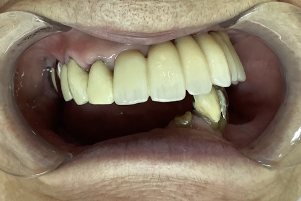
「噛み合わせられない/入れ歯が合わない」ということでご来院いただきました。インプラント治療で快適に噛めるようになりました。下顎はロケーターアタッチメント使用しています。
レントゲン画像


実際の見た目の写真



詳細データ
・治療:インプラント治療
・年齢:80代女性
・主訴:噛み合わせられない/入れ歯が合わない
・期間:5か月
・回数:8回
・費用:250万円
・メリット:自分の歯のように噛める
・リスクと副作用:自由診療となる/術後の腫れや痛みを伴うことがある/その他


