ウォーキングブリーチ治療例(50代 男性)_0007
ウォーキングブリーチ治療例
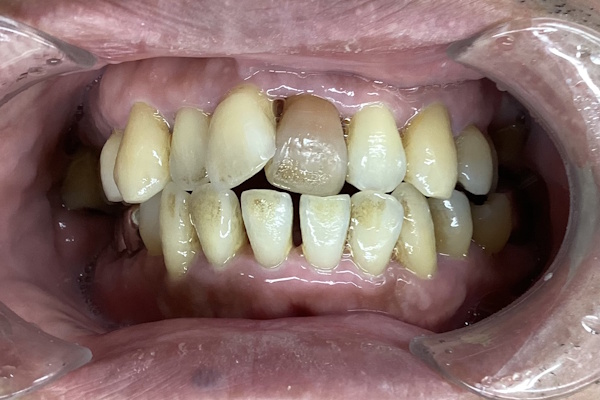
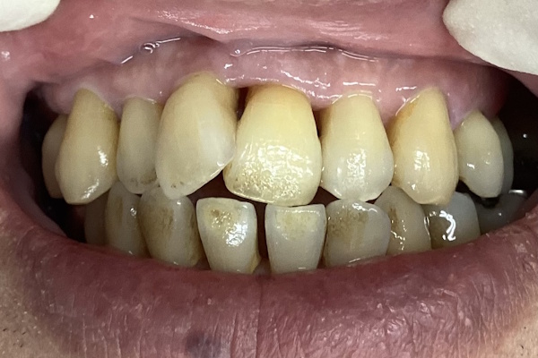
「歯の変色を白くして欲しい」ということでご来院いただきました。ウォーキングブリーチ治療で現状よりも白さを取り戻すことができました。
写真


詳細データ
・治療:ウォーキングブリーチ治療
・年齢:50代男性
・主訴:歯の変色を白くして欲しい
・期間:1か月
・回数:3回
・費用:1万円
・メリット:神経(歯髄)を取った後の変色した歯(失活歯)を白くすることができる
・リスクと副作用:自由診療となる/白さの限界があったり後戻りしたりする場合がある

